发布时间:2024-08-20来源:广西中医药大学附属瑞康医院作者:陶柳琰审核:覃华芳韦安静点击: 次
恶性肿瘤,特别是晚期恶性肿瘤,一直是困扰医务人员的棘手疾病,患者一旦被确诊为晚期的恶性肿瘤就等于宣布即将进入死亡的倒计时。我们时常惋惜生命的流逝,同时又感受着强烈的使命需要去履行,竭尽全力为癌症患者争取多一分一秒,利用世界顶尖级精准放疗设备——射波刀,把“射波刀+手术+化疗+靶向免疫治疗+中医药”五位一体的综合疗法发挥到极致,让肿瘤患者得以高质量生存的理想成为触手可及的现实 ,这一切,广西中医药大学附属瑞康医院肿瘤科始终在努力着。
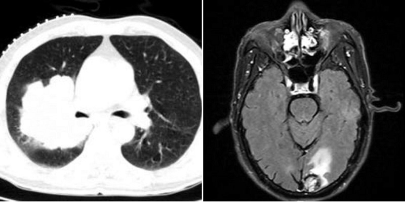
2016年7月,李先生反复出现咳嗽咳痰一个月,期间吃多种化痰止咳药均无效果,还出现痰中夹带血丝、时而胸闷等情况,李先生急忙到当地医院进行进一步检查,而结果却不尽人意,李先生被确诊为支气管肺癌,并且已出现骨、脑转移,免疫组化提示:李先生的癌细胞为分化较差的癌,倾向于腺癌并鳞样表型(分化差的癌指的是恶性肿瘤的发展状态,也就是说此种类型的癌细胞恶性程度较高,相对来说,是指肿瘤的发展进程较快,通常情况下,这类的恶性肿瘤病人大多会很快进入到肿瘤晚期。)

沉重的打击来得猝不及防,在悲痛之余,李先生和家人还是想要找寻哪怕最后一丝的希望。2016年8月下旬,李先生在家人的陪同下从山西远赴广西中医药大学附属瑞康医院找到肿瘤科二区科室主任侯恩存主任医师,侯主任在详细了解李先生的病情后,在8月24日,安排李先生进行住院治疗,与他的“金牌搭档”、中医专家陆运鑫主任医师共同为李先生制定一套系统的中西医结合治疗方案。
·2016年8月26日,侯主任为李先生行脑转移瘤射波刀治疗。
·2016年9月2日,予李先生唑来磷酸抗溶骨治疗。
·2016年9月7日,侯主任为李先生行肺癌射波刀治疗。
在治疗的过程中,侯主任还为李先生安排中医对症治疗,利用中药外涂减轻放疗皮肤反应,辨证内服中药汤剂沙参麦冬汤。
·2016年9月中旬,出院后的李先生,在侯主任的指导下,继续回到当地医院进行5个周期的化疗。
·2017年2月,李先生返回瑞康医院肿瘤科二区进行复查,复查结果提示:病灶较前缩小,脑转移瘤消失。

胜利露出了曙光,我们仍需再继续、再努力!
·2017年的2月15日、3月11日、4月12日、5月6日四个时间段,侯主任为李先生进行4周期的化疗。
·2017年7月13日,李先生再次返医院化疗,侯主任并交代李先生在出院后回当地医院需要分别于2017年8月10日、2017年9月1日、2017年9月25日时间段进行3周期化疗作为维持治疗。
在历经一年的系统性治疗后,此时的李先生,出院在家期间长期服用瑞康医院肿瘤科二区研制的中药丸剂消积化瘀丸,病情已非常稳定。
·2018年4月8日,李先生再返院复查,肺部肿块明显缩小。

·2020年3月26日,李先生出现头晕症,检查发现脑部出现病灶,侯主任又为李先生行脑转移瘤射波刀治疗(3f)。
·2021年3月16日,李先生返院复查,检查结果提示:右肺肿瘤明显缩小,且李先生病情稳定。建议李先生继续服用中药并可回当地医院继续贝伐维持治疗。

从确诊到如今已过去7年,现在的李先生忙碌在生活、工作中,病情稳定,无不适感觉,也会遵照侯恩存主任的叮嘱定期到院复查。
如果您不知道他的故事,您根本看不出他是一位曾经到过死亡边缘再被拉回来的人。如果说什么东西最可贵,依然还是老套却最实在的话:当健康莫属。每一次与疾病的较量,我们不禁发出“活着真好”的感慨,简单的几个字,体现了生命的意义,而这个意义在肿瘤科二区侯恩存主任的带领下,在世界顶尖级精准放疗设备——射波刀的重鞘出击下,在充分发挥医院治疗恶性肿瘤的中医特色优势下得以升级:“健康的活着真好”。
