发布时间:2020-04-02来源:作者:谢玉凤 李雪娟审核:陆畅点击: 次
乳腺癌患者由于手术影响,决定患者手术后不能采用患侧进行输液用药。而患者术后化疗药物如何使用成为一个难题,而经外周插管的中心静脉置管(PICC)帮助乳腺癌患者很好的解决了这一难题,导管尖端位于上/下腔静脉,避免患者反复穿刺血管,避免刺激性药物如化疗药对血管、皮肤、组织的刺激。但因为不少基层医院未开展PICC技术,则成为医护和患者安全用药的阻碍。
日前,扶绥县中医院的乳腺癌患者李阿姨为顺利进行化疗用药,经主管医生联系我院乳腺科,前来进行置管。
3月27日下午李阿姨来到乳腺科准备行PICC置管。因第二日要进行化疗,因此李阿姨希望置完管后马上赶回扶绥县中医院。时间紧迫,经乳腺科护理团队讨论,认为置管后常规胸部X线检查定位只能在置管后判断导管末端位置,并不能在置管过程中判断导管是否到达预定位置,有可能出现导管异位需要再次调整。为保证李阿姨赶上回家的“末班车”,护理团队决定采用最新心电定位技术为李阿姨进行PICC置管。
腔内心电定位技术:是通过心电转换器将心房内心电图引导并显示于显示器,通过判断心电图P波的变化来确定导管尖端位置的一种技术。
操作一边送导管一边判断心电图波形的P波形态变化辅助导管定位,当导管尖端进入上腔静脉时,P波波幅逐渐升高,当到尖端位于上腔静脉与右心房交界处时,P波波幅达到最高,当导管尖端进入右心房时,P波波幅由高尖转低,或出现双向P波。因此,操作者可根据心电图P波波幅发生特异性变化这一特点,来判断导管尖端位置。
经过充分准备后,在乳腺科静脉治疗专科护士谢玉凤的操作下,以及乳腺科杨琳护士长及我院静疗团队成员李雪娟护士长的协助下,患者一次置管成功。

置管过程中患者的心电图改变提示导管位置变化

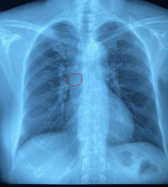
置管后X线显示导管位置达到理想位置
目前李阿姨已返回当地医院顺利进行了化疗。腔内心电定位技术,降低了PICC导管异位的风险,提高一次置管成功率,减少患者反复调整导管的机率。
我院乳腺科护理团队作为院内静脉治疗团队成员之一,不仅开展PICC置管技术,还与医疗协作开展输液港置入,充分解决乳腺癌患者术后输液用药只限一侧手臂血管的局限。更多详细请咨询电话:
静脉导管维护专科门诊:0771-2188322;
乳腺科门诊:0771-2188039,护士站:0771-2188186,医生办公室:0771-2188187。