发布时间:2022-11-25作者:赖冬萍(消化内科)点击: 次
突如其来的腹痛、发热、寒战、黄疸
近日,78岁的潘大爷讲述自己前些天毫无征兆突发腹部胀痛,伴有发烧、寒颤、恶心呕吐、胸闷、小便黄,实在忍不住,便去了当地医院住院治疗。经CT、血常规等检查,考虑是由于胆囊及胆总管多发结石导致的胆道系统感染,且血常规等感染相关指标异常升高!当地医院予抗感染等对症治疗后,潘大爷的腹痛等症状未得到明显改善,为进一步取石治疗,家属通过医院医疗服务部,慕名找到我院的消化内科。
经过详细询问病史了解到,潘大爷胆囊结石病史已有多年,但未发作如此厉害!入院后急查了上腹部CT,果不其然,潘大爷的胆管明显扩张,胆囊及胆管均遍布大小不一的结石。此外,潘大爷十几年前曾因消化道穿孔行毕II式胃大切手术,他的消化道结构已与正常人不同。此外,他还伴有心脏早搏、高血压、脑梗塞等病史,血压平时控制得也不是很理想,使得家属十分忧虑。
高龄+多发结石+消化道改道(毕II式胃大切)术后,这无疑让治疗难上加难。


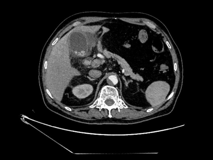
图1:上腹部CT提示:胆囊及胆总管多发结石并感染
消化内科陈远能主任医师、郑东林主任医师、张涛主任医师第一时间查看患者,反复商讨手术方案,精心制定取石方式。消化内科专家在充分考虑患者的具体病情和身体情况后,建议给予风险更少、创伤更小,恢复更快的经内镜逆行胰胆管造影(ERCP)及内镜下胆道取石的治疗方案,并征得了患者及家属的理解与同意。
郑东林主任带领的ERCP团队,术前结合了患者因“消化道穿孔”行胃大部分切除(毕II式胃大切)术后患者十二指肠乳头及其开口异于一般普通人等情况,制定了完善的ERCP手术方案。术中,团队熟练配合,坚持不懈,调整常规操作方法,克服了因胃大部分切除(毕II式胃大切)术带来的各种操作困难、顺利进行逆行胆管造影,成功取出了胆总管内的多颗结石,解除了胆道梗阻后,引流出较多的脓性胆汁,术后患者安返病房。

图二:ERCP取石术
术后第二天患者复查感染指标、胆红素等明显下降,并发症观测指标均正常,老人家腹痛、恶心、呕吐等症状得到了有效缓解,很快便痊愈出院。
针对胃毕II式术后胆总管结石患者,临床上主要以外科手术以及内镜两种手段进行取石治疗,其中内镜逆行性胰胆管造影(ERCP)及内镜下胆道取石具有创伤小、风险低、手术时间短、术后恢复快以及住院时间短等优势,已成为有效治疗胆胰疾病的首选方案。然而,因解剖结构异常,往往进镜及寻找乳头困难,操作难度大,对操作者的理论水平和操作技术具有很大挑战。广西中医药大学附属瑞康医院ERCP团队具有丰富的内镜下胆道取石经验,特别对高龄患者及困难胆道取石有较高的造诣。
胆管结石莫惊慌,“口”中取石百忧解!
平时我们应该注意什么呢?
1.禁止暴饮暴食,忌食肥肉、煎炸等高油食物;少吃易产生结石食物:例如菠菜、柿子、浓茶等;
2.注意休息,保证充足睡眠;
3.胆胰系统疾病患者应积极治疗原发病,遵医嘱服药。若出现以下症状:腹痛腹胀、呕吐、尿黄、身黄、目黄、发热等应及时禁食并立即就诊。